
- 수시모집 1인당 4.68회 지원
- 신효송 2018.10.08
- [대학저널 신효송 기자] 올해 수시모집에서 학생 1인당 평균 4.68회 지원한 것으로 나타났다.한국대학교육협의회(이하 대교협)는 8일 '2019학년도 수시모집 지원 횟수 검색 결과'를 발표했다.분석 결과, 총 지원 건수는 244만 1 ...

- 정현태 경일대 총장, 일본 방문
- 오혜민 2018.10.08
- [대학저널 오혜민 기자] 경일대학교 정현태 총장이 교육혁신 사례 공유와 대학 간 교류협력방안 협의를 위해 오는 10일부터 12일까지 일본을 방문한다.정 총장은 일본 대학교육 혁신의 모범으로 평가받는 가나자와 공업대학을 방문해 두 대학 ...

- 코리아텍, ‘제24회 졸업연구작품 전시회’ 개최
- 신영경 2018.10.08
- [대학저널 신영경 기자] 코리아텍(총장 김기영)은 오는 11일과 12일 코리아텍 담헌실학관 1층 로비에서 'A new era: The 4th Industrial Revolution'이라는 주제로 '제24회 졸업연구작품 전시회'를 개최 ...

- 서원대, 디지털 스토리텔링 개발 세미나 개최
- 오혜민 2018.10.08
- [대학저널 오혜민 기자] 서원대학교(총장 손석민)는 지난 5일 서원대 미래창조관 세미나실에서 ‘청주 신항서원 관련 원천스토리 발굴 및 디지털 스토리텔링 개발’을 주제로 학술세미나를 개최했다.이번 세미나는 문화체육 ...

- 동국대 교육대학원, 2019년 전기 신입생 모집
- 임지연 2018.10.08
- [대학저널 임지연 기자] 동국대학교(총장 한태식) 교육대학원(원장 김승호)이 2019년 전기 (일반)석사과정 및 교원양성과정 신입생을 모집한다.동국대 교육대학원은 교육현실을 발전적으로 개선해나갈 수 있는 교육전문가를 육성하기 위해 다 ...
- 서울대, '서울대 통일교육아카데미' 개강
- 임지연 2018.10.08
- [대학저널 임지연 기자] 서울대학교가 지난 1일 ‘서울대 통일교육아카데미’를 개강했다. 통일교육아카데미는 오는 12월 3일까지 매주 월요일 18시 30분부터 21시까지 10주 동안 진행된다.참가자들은 서울대와 타 대학 학생, 대학원생, 연구원, 교직원뿐만 아니라 현직교사, 연구교수, 행정직, 법무관, ...

- 목포대, 금고 지정 신청 공고
- 오혜민 2018.10.08
- [대학저널 오혜민 기자] 목포대학교는 올해 말로 기존 대학금고 금융기관과의 약정기간이 만료됨에 따라 앞으로 4년 간(2019.1.1~2022.12.31) 대학금고 업무를 수행할 금고 지정을 위해 8일자로 목포대 홈페이지에 입찰 참여 ...

- 동의대, 일본 아토미학원여자대학과 국제교류협정 체결
- 오혜민 2018.10.08
- [대학저널 오혜민 기자] 동의대학교(총장 공순진)는 지난 5일 동의대 본관 회의실에서 일본 아토미학원여자대학(跡見学園女子大学)과 양교의 상호 발전과 학생 및 교수 교류 등에 관한 국제교류협정을 체결했다.이날 ...

- 부산외대 코어사업단, 2학기 시민인문강좌 개최
- 오혜민 2018.10.08
- [대학저널 오혜민 기자] 부산외국어대학교(총장 정기영) 대학인문역량강화(CORE) 사업단은 인문학 교육 대중화를 위해 올해 2학기 시민인문강좌(CULTURE IN)를 개최한다.이 프로그램은 다른 지역(사람)과 원활하게 소통하는 시민 ...

- 학부모 95.5%, 청탁금지법 '찬성'
- 임지연 2018.10.08
- [대학저널 임지연 기자] 학부모들이 청탁금지법에 대해 95.5% 찬성하는 것으로 나타났다. 또한 93.4%가 청탁금지법에 대해 긍정적으로 평가했다. 경기도교육청(교육감 이재정)은 8일 청탁금지법 인식과 효과에 대한 온라인 설문조사 결 ...

- 서울대 공대 대학원생들, MRI 촬영시간 단축 기술 개발
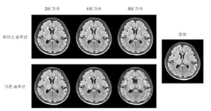
- 임지연 2018.10.08
- [대학저널 임지연 기자] 서울대학교 공학대학(학장 차국헌) 대학원생들이 자기공명영상(MRI) 촬영에 소요되는 시간을 획기적으로 줄일 수 있는 기술을 개발했다. 이 기술은 현재 MRI 장비에 바로 적용 가능하다.서울대 공대 전기정보공학 ...

- 세종대, 100초 인간탐구 영상공모전 참가자 모집
- 임지연 2018.10.08
- [대학저널 임지연 기자] 세종대학교(총장 배덕효) 대양휴머니티칼리지가 오는 31일까지 ‘100초 인간탐구 영상공모전’ 참가자를 모집한다.공모전의 주제는 ‘우리 시대의 청년, 무엇을 위해 사는가?&rsq ...
- 한양대·인권옹호연맹, 4차 산업혁명과 인권보호 해법 모색
- 임지연 2018.10.08
- [대학저널 임지연 기자] 한양대학교(총장 이영무)가 국제인권옹호한국연맹(회장 김종량)과 공동으로 오는 10일 오후 2시 한양대 HIT 대회의실에서 4차 산업혁명과 인권을 주제로 심포지엄을 개최한다.심포지엄에서는 전 세계적 화두인 4차 산업혁명, 특히 인공지능(AI)과 빅데이터, 초연결사회가 출현하면서 인간의 보편적 가치인 ...